The Art of Smile Transformation
“Dr Rajeev at BDC has completed thousands of successful smile transformations, turning imperfect and flawed smiles into beautiful, radiant, natural smiles. He focuses his practice on smile transformations, both dramatic full-mouth restorations and small transformations that can still make a world of difference.
When he sees a new patient, he can learn about smile, its flaws, and how to perfect it – without even examining teeth.”
Smile Transformation
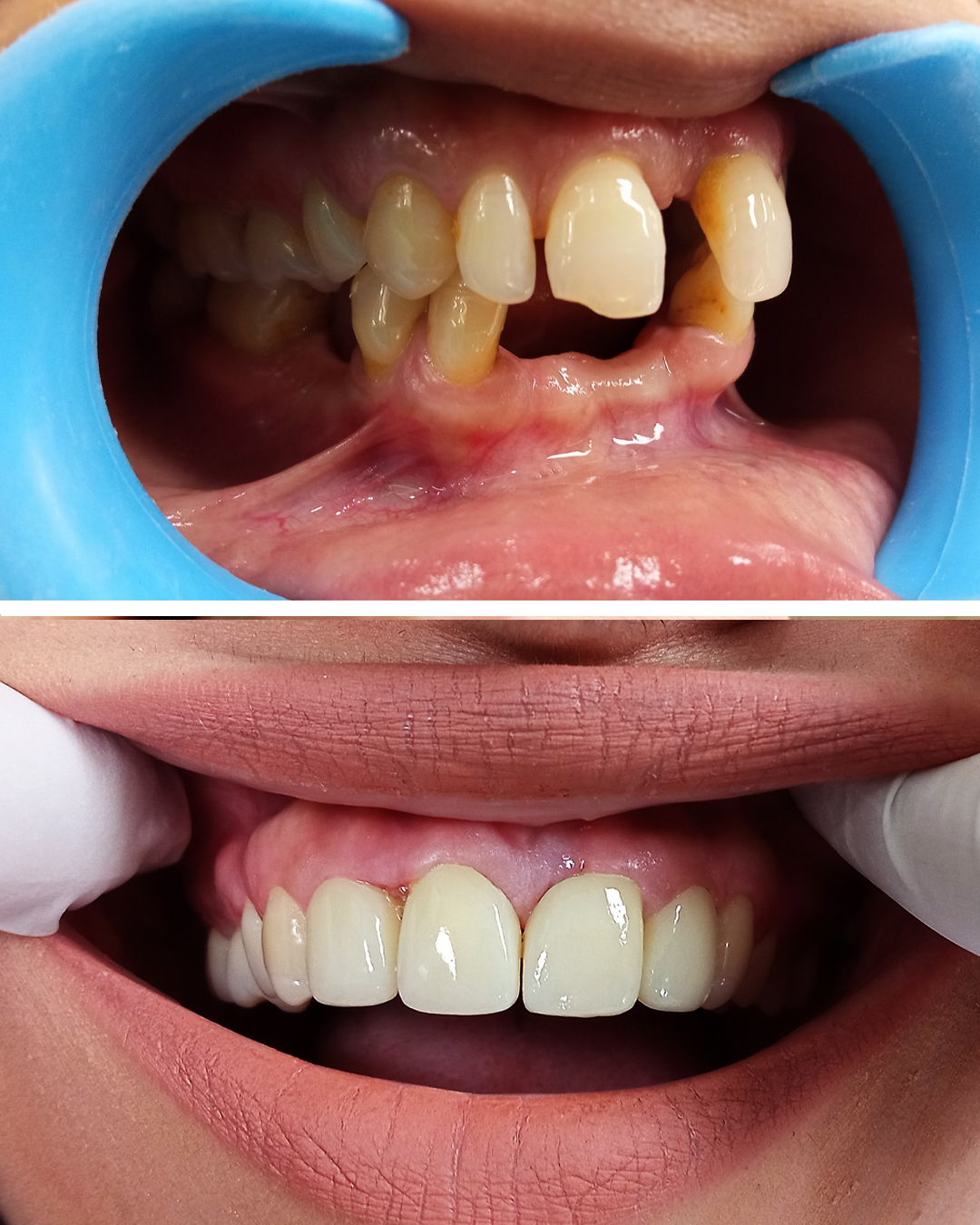
- The only way that a smile makeover can be considered successful is if we understand what it is that the patient wants, and then we give them exactly that. But of course, listening to the patient is only half of the story. When we are talking, we are also observing the patient, and that will tell us many things about their smile as well.
- There are so many things that we can learn, just by observation. Sometimes they are things that the patient is very aware of - but often they are also things that they don't realize are there, and that those are in fact things that can be fixed with attention to the teeth. Your teeth provide the underlying structure for your entire lower face - your lips, your cheek, even your jaw and your chin are all supported and shaped by your teeth. Because of this, I can look at your face and see many things not just about the way your teeth are right now, but also how they have changed over time.
- As we change the teeth - the structural support for the lips, cheeks and chin - you will of course be changing the way that they appear. For example, when we used the correct thickness of veneers and crowns to bring this patient's teeth forward and into a more ideal position, her lips became fuller and more symmetrical in appearance. We were also able to widen her smile


