Cosmetic Dentistry
“Cosmetic dentistry is not just about creating a beautiful smile, it's about improving the overall health and function of your teeth.”
Cosmetic Dentistry – Beauty with functionality
Both general and cosmetic dentists work hard to have their patients looking and feeling their best. The focus of a cosmetic dentist is to restore beauty as well as function to the teeth as in many cases the cause of cosmetic flaws are missing teeth, aging restorations, misaligned teeth and discoloration.
Dr.Rajeev is a renowned cosmetic dentist. He established his practice over 25 years ago and has helped over 6,000 patients retain or restore their healthy beautiful smiles. His focus is to correct functional problems so that the cosmetic procedures will look and feel beautiful and last a lifetime.
Cosmetic dentists provide a wide array of services including veneers, dental implants, porcelain crowns, and teeth straightening. Patients who are primarily concerned about the appearance of their smile are usually delighted to realize that Dr. Rajeev has a full service dental practice. His patients can schedule routine teeth cleaning, teeth whitening or have an entire smile makeover
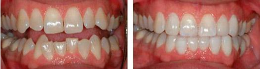
Dentistry isn’t just Science, it’s Art at BDC
A smile is universally understood as an expression of happiness, warmth, and even love. However, sometimes, the condition of one’s teeth not just takes away those positives, it even becomes a source of embarrassment and lack of self-confidence. This is where Cosmetic Dentistry comes to the fore as a savior.
What is Cosmetic Dentistry?
“Cosmetic Dentistry” is a term that is used to describe the use of dental procedures and techniques to improve the appearance of one’s teeth, smile and face. The focus of any Cosmetic Dental Plan is to alter the teeth in shape, size, color or placement in order to make your smile more pleasing
Dr.Rajeev has a large variety of cosmetic dental procedures at his disposal when he is planning a Smile Transformation. Just click on a link below to find out detailed information about each of these procedures. All of these procedures can be completed rapidly in our CLINIC.
- Porcelain Veneers
- Dental Implants
- Biocompatible, tooth-colored fillings
- Tooth Whitening
- Gum Recontouring
- One-Visit Ceramic Crowns
- Cosmetic re countering and reshaping
Cosmetic dental procedures can be used to correct many conditions that patients find to be unappealing. The goal in any cosmetic procedure is to have a beautiful, natural smile that is healthy and attractive. Some of the conditions that Dr. Rajeev is easily able to help you correct include:
Full-mouth rehabilitation
Crooked Teeth
Teeth that are too small
Teeth that have been ground down
Teeth that are stained
Yellowed or grayed with age
Teeth that are not properly shaped
Missing teeth
Overcrowded teeth
Teeth that are uneven in size
Old or failing dental work
Gaps between the teeth
Metal fillings, crowns or inlays
A gummy smile
Gum disease
If you are considering a Cosmetic Dentist, schedule a consultation with the dentist and review your case with him or her. Here are some things that Dr.Rajeev recommends that you look for are:
- Skill– Cosmetic Dentistry requires a great deal of skill and planning to be effective. While many dentists will take a weekend course and begin offering their patients porcelain veneers, Dr. Rajeev recommends that to get the best results, you look for a dentist who is both well-trained in a variety of cosmetic procedures, and has successfully transformed many smiles
Ask a lot of questions, and be sure to ask any dentist that you are considering for your makeover to show you examples of smile makeovers that he has done in the past, particularly using techniques and results such as the ones that he is recommending for you. - Trust– When you select a dentist for your Smile Makeover, you are entrusting that person with your smile. You and your dentist will need to build a strong partnership, in which both of you are working for the same goal, in order for your Smile Makeover to be everything that you want it to be. Always select a dentist that you feel comfortable with, someone that you can trust with your hopes, ideas, and ultimately, your smile. Trust your own instincts. We often see patients who are dissatisfied with dental work they received at another office because they ignored their concerns right from the start.
- Artistic Eye– Cosmetic Dentistry is also an art form. You should be looking for a practitioner who creates smiles that you consider to be beautiful. You’ll want him or her to look at your mouth and see the same things that you see, and envision the same beautiful smile that you would like to see – or perhaps one even more beautiful than you have dared to hope you. Clear artistic vision that matches your own is a key element in any successful Smile Makeover.


