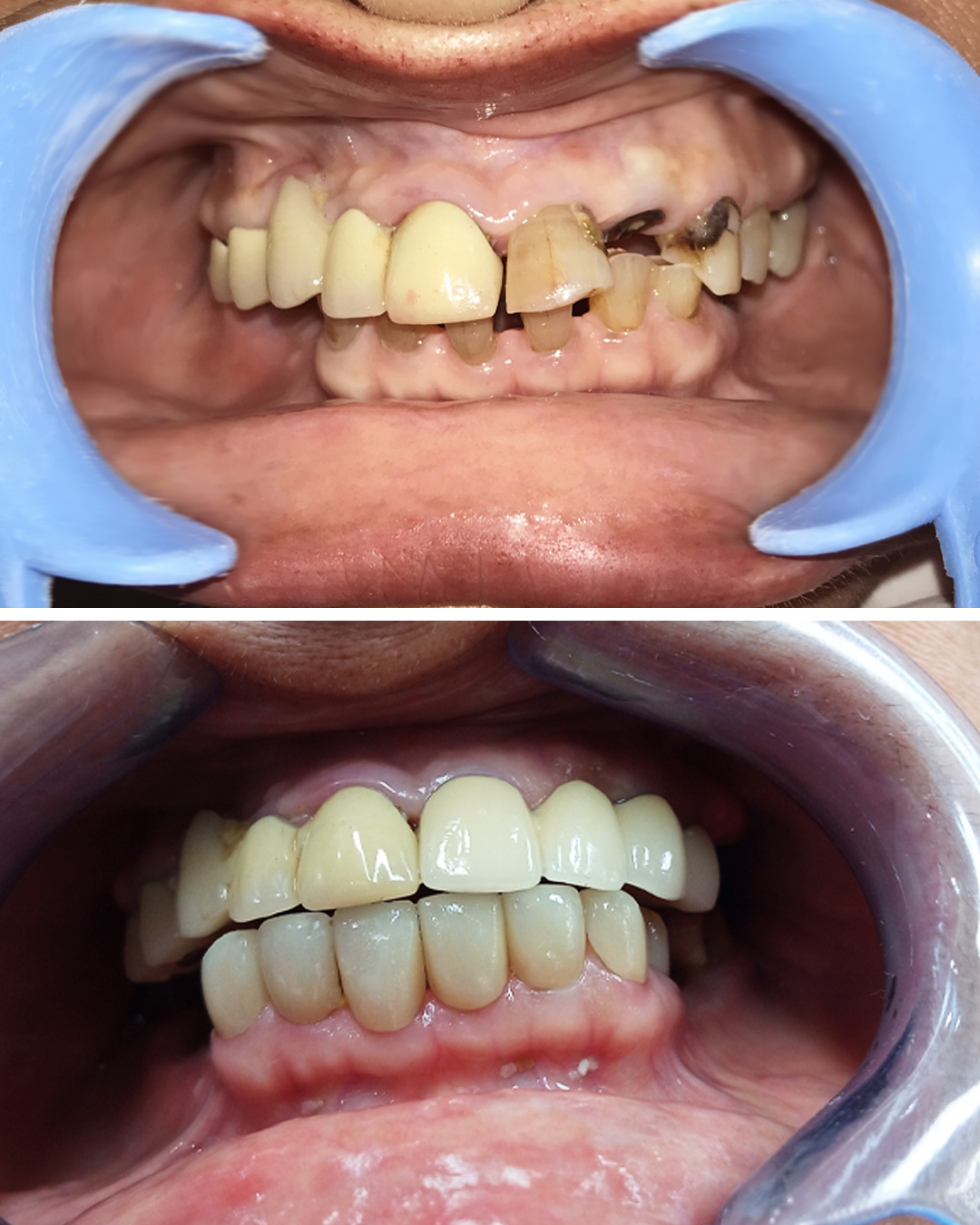
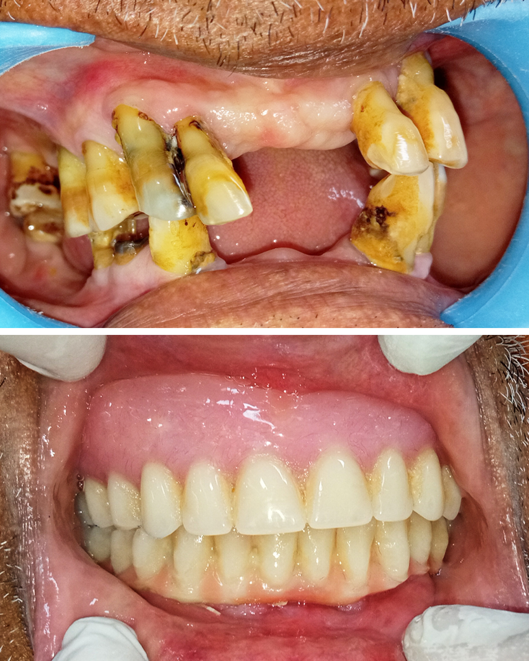
Complete Dental Makeover
Your smile says a lot about you – it reveals your self-confidence, mood, temperament, and personality. If your teeth are stained, out of alignment, oddly-shaped, or missing, a complete dental makeover can be life-changing – you can have a perfect, brilliant smile. So how can you fix all your teeth, at one time?
Complete Dental Makeover At Balaji Dental Centre
Ask an expert about the art and science of Complete Dental Makeover
Various life situations can leave you with damaged or decaying teeth, and not all dental problems are within your control. Genetics can determine the strength, durability, and the growth pattern of your teeth. Meanwhile, your diet, oral hygiene, and life experiences contribute to the overall health and appearance of your teeth. Do you want to fix all your teeth? A dental makeover can repair any of the following problems:
- Repair damaged or decaying teeth
- Replace missing teeth
- Realign your teeth
- Repair older dental work
- Correct an underbite or overbite
You may be concerned full smile makeover will be a long and painful process, but a total smile makeover at state-of-the-art dental clinic, will be comfortable, painless, and gentle.
What is involved in a Complete Dental Makeover?
Each dental makeover is unique, as every patient is different. WE will work closely with you in planning your treatment your complete dental makeover may involve resolving misalignments, tooth proportions, color, replacing lost teeth, or replacing an entire set of teeth if needed.
- Full Mouth Implants
- Dentures
- Veneers
- Results
Full Mouth Implants
Dental implants replace one or more missing teeth with a restoration that feels fully natural and has full function – just like your natural teeth. During the procedure a titanium rod is anchored in your jaw. A high-quality ceramic crown is then placed upon the implant for a new tooth that looks and feels perfect.
WE may recommend a full set of implants if you have extensive damage, decay, or have several missing teeth. A full set of custom new teeth can be created, just for you, a far superior solution to dentures. With a full set, you can eat what you want, with no concerns about slippage or discomfort – your teeth will function like your own natural teeth – and look incredible.
Dentures
Gum disease or other significant decay could have caused you to lose all or most of your teeth. A partial or full set of dentures can restore your smile. Modern dentures are more comfortable and look more natural than ever. Traditional dentures are more cost-effective but can pose comfort problems, as your gums must completely heal after extractions or dental work. WE can provide “immediate dentures” so you leave our clinic with your smile intact, rather than waiting for your gums to heal.
Veneers
Veneers are a non-invasive way to change the shape and color of your teeth. A thin porcelain shell, with a natural, luminous appearance, is placed over each affected tooth, for a long-lasting smile correction that is picture-perfect. In many cases veneers can be an alternative to braces. Veneers can conceal gaps, make your teeth appear straighter, and even alter the proportion of your teeth and gums to enhance your facial features.
What Type of Results Can I Expect?
It can be difficult to envision what your teeth will look like after a complete dental makeover. You may be surprised at how much correcting your teeth will enhance your appearance. A straight, bright smile will help you appear years younger and give you the confidence to smile freely and often and pursue your personal and professional goals. Your smile is one of the first things others notice about you, and a confident smile will make you appear approachable, kind, and more attractive.
FAQS
Dental makeovers are highly individualized treatment plan, and the time to complete the entire procedure will vary.
BDC has pioneered the one-week smile makeover with advanced cosmetic techniques. He understands that many patients want to avoid multiple dental appointments spread out over months, and he employs the industry’s latest technology for a one-week total smile makeover. Although some severe cases may require more time, many patients can achieve a bright, attractive, perfect smile in a week or less.
What is Recovery like after a Dental Makeover? The recovery period will vary widely, based upon the procedures involved in your complete dental makeover. It can take time for your gums to heal after the placement of dental implants, while other non-invasive treatments require little to no recovery time. Veneers are placed over your existing tooth structure, so you can resume normal use of your teeth without delay. WE WILL guide each patient in how to care for tooth restorations so they remain looking brilliant for the long term.


