Gum Recontouring
Are you not comfortable with your “Gummy Smile” or your “Uneven Gum-Line”? Or, are your “Long” teeth embarrassing you?
If yes, Gum Re-contouring is a blessing for you that will take care of all such dental problems. The Gum Re-Contouring procedure alters the appearance and the shape of the gums to craft an improved smile for you. At BDC, we can:
- Make your gum line proportionate.
- Remove excess tissue to fix a “gummy” smile.
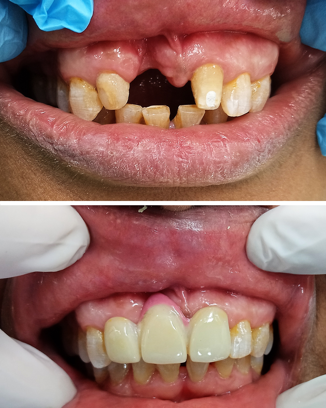
- Add tissue to receded gums.
Why are gums important to your smile?
One thing that beautiful smiles have in common is correctly proportioned gums. If the gums do not look proportionate, your smile will lack the charm that proper-sized teeth and gums provide. The shape of the gums affects the shape and size of the teeth. If you’ve ever noticed someone who has small, short teeth, he or she most likely has a gummy smile. On the other hand, if the gums are receded or pulled back, the teeth can look too long.
Candidates for Gum Reshaping
Gum Re-contouring, or gum reshaping, is an effective treatment for patients whose teeth appear to be short or misshapen due to excess gum tissue, or for those who have an uneven gum line, or those with “long” teeth. The line of your smile and the teeth, that show when you smile, are determined by several factors:
- The size and shape of your teeth
- The size and shape of your lips
- Your lip movement when you smile
- The amount of gum tissue you have
We will examine your gums and teeth before creating a treatment plan specific to your needs. An optimal smile line reveals the least possible amount of gum tissue. For this to occur, the gum contours must be in balance with your upper lip. By performing a laser gum treatment, Dr. Sonia Gupta is able to redefine your gum line and the line of your smile to enhance the appearance of your whole face.
BDC helps patients fix these common problems.
- What to expect
- After Procedure
- Our Procedure
- Benefits
What to expect from the gum re-contouring procedure?
To fix a gummy smile, our dentists will use a special instrument (typically a laser) to trim excess gums and excess bone tissue when necessary. The laser will help to seal the gum tissue, which will allow you to heal faster.
This quick and comfortable “sculpting” technique is called a Gingivectomy, which will create a more natural and youthful smile.
Our dentists can either take away excess tissue or add tissue when there is too little. Our dentists will use anesthetics, if necessary, to ensure that you are comfortable.
To fix receding gums showing long teeth, we start the process of removing a small amount of tissue from the roof of your mouth. This tissue will be grafted to your gum-line to create proportionate gums.
After the Gum Re-contouring procedure
Your gums may feel a little tender or be swollen for the first week after the procedure. An analgesic, like Ibuprofen, is usually recommended for this. Typically, we recommend that you rinse your mouth with salt water (or an antibacterial mouthwash, if necessary).
You should do this one to two times per day for the next two weeks after your appointment in order to prevent infection and to speed up the healing process.
Gum Re-contouring at BDC
The minor, in-office Gum Re-contouring procedure usually requires only one visit that lasts about an hour. After a local anesthetic is applied to the gums, a soft tissue laser is used to trim away, re-contour and seal the excess gum tissue. There is only minor discomfort and no bleeding or stitches are involved.
Benefits of Gum Re-contouring
Gingival sculpting can have social and psychological benefits, such as enhancing your looks and self-confidence. It can, thus, encourage you to be more socially active and willing to smile more. When you feel happier, you also seem more approachable and friendlier.
Gum Re-contouring is a minimally invasive and painless procedure. Soft tissue lasers do not cut or burn the tissue. Instead, a soft tissue laser will vaporize unwanted gum tissue by breaking down the cellular connections on a microscopic level.
If you are concerned about discomfort during any dental procedure, talk to Dr. Sonia about your options during your initial consultation.
Yes, Gum Re-contouring is a safe procedure. Performed by an experienced cosmetic dentist like Dr. Sonia, only unnecessary tissue will be removed. When the tissue is excessive and provides no functional benefit, there will be no harm to your teeth or necessary gum tissue.
In some cases, if you do not have straight and well-aligned teeth, your laser gum treatment may be combined with the placement of porcelain veneers. Custom-designed veneers allow restoration of brightness and of a pleasing contour to your teeth. The results of these combined procedures show more of your teeth and bring symmetry to your expressions and your overall facial features.


